PHOTO ESSAY: Management of Penetrating Injuries and Intraocular Foreign Bodies
INTRODUCTION
Intraocular foreign bodies (IOFBs) are one of the most common causes of ophthalmologic emergencies and are most often metallic.1 Foreign bodies are often acquired when performing tasks such as chiseling, hammering and drilling, which places manual laborers at higher risk of injury.2 Due to risk of vision loss and potential for irreversible damage to the globe, cases of foreign bodies require urgent diagnosis and management. This case highlights the importance of prompt identification and management of an intraocular metallic foreign body.
CASE REPORT
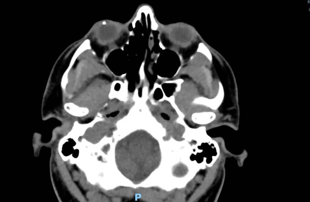
A 40-year-old white male presented to a local ER with the complaint of right eye pain and possible foreign body. He reported he had been hammering nails earlier in the day (without eye protection) and felt something hit his right eye. He rinsed the eye out and continued working. Throughout the day and into the evening his eye got more red and painful, and he reported to the ER for evaluation around 10:30 PM on a Saturday. The ER provider noted reduced vision, a hazy cornea and no external foreign body , so the optometrist on call was consulted for further eye evaluation. The patient’s medical and ocular history were unremarkable. He was up to date on his tetanus vaccine. On exam he was best corrected to 20/200 in the right eye and 20/20 in the left eye. Biomicroscopy of the right eye revealed 2+ conjunctival injection, 2+ diffuse stromal edema, and paracentrally a self-sealed full thickness corneal laceration was noted which was seidel sign negative. Inferiorly within the anterior chamber an approximately 1.5 mm metallic foreign body was noted. CT of the brain/orbits (without contrast) confirmed a metallic foreign body in the anterior chamber of the right eye and no other foreign bodies were noted. (Figure 1)

Figure 1: CT head (without contrast) that shows a metallic foreign body within the anterior chamber of the right eye.
He was given two drops of moxifloxacin and an eye shield was placed. He was also given 2 grams of IV ceftazidime and 1 gram of IV vancomycin and transferred to a hospital that had ophthalmology surgical coverage during the weekend (which was several hours away). Early the next day, he underwent uncomplicated repair of full-thickness corneal laceration with removal of retained metallic intraocular foreign body in the right eye. He recovered to 20/20 with a residual stromal scar.
DISCUSSION
Intraocular foreign bodies, defined as intraocularly retained, unintentional projectiles, account for 16-41% of open globe injuries.2 IOFBs are much more likely to occur in males. Those that perform manual labor, such as farmers and construction workers, are at a higher risk to present with IOFBs.3Â
The extent of the ocular injury depends on the velocity, size, nature, entry size, and impact upon contact with the eye.4 Small high-velocity particles are the most common foreign bodies found in the eye.5 Foreign bodies include metals, inert substances, and organic substances.4 Out of all the different types of foreign bodies, metallic foreign bodies are the most common.6
Intraocular foreign bodies usually present in cases of ocular trauma. In cases of open globe injuries or blunt trauma, it is crucial to determine the presence or absence of intraocular foreign bodies. Foreign bodies can be found in the anterior segment or the posterior segment of the eye. The majority of intraocular foreign bodies are found in the posterior segment, accounting for about 58%-88% of cases.7 Anterior segment foreign bodies account for about 10%-15% of cases, followed by the lens or orbit which account for about 2%-8%.7
When there is an open globe injury, they are typically classified into different zones. Zone 1 includes the cornea and limbus.7 The area 5 mm posterior to the limbus is known as Zone 2.7 Finally Zone 3 contains the rest of the globe posterior to 5 mm from the limbus.7 Along with the zones, the Ocular Trauma Score (OTS) can help predict final visual acuity following the injury.7 The OTS uses the initial visual acuity and the presence or absence of an afferent pupillary defect, a retinal detachment, globe rupture, endophthalmitis, and perforating injury to calculate a raw score.8 All these factors are crucial to determine at the initial presentation to aid in hypothesizing final visual prognosis and patient education.
Key exam components must include visual acuity measurement, a thorough pupillary exam, and slit lamp examination. Upon slit lamp examination it is important to rule out the presence of scleral or corneal lacerations, a positive Seidel test, iris transillumination defects, and uveal prolapse.7 The entry site of the foreign body should be located. Performing careful gonioscopy and obtaining intraocular pressure are important, with the exception in the case of a suspected open globe injury. Obtaining the intraocular pressure, gonioscopy and scleral depression should generally be avoided in cases where an open globe injury is suspected.1 Careful assessment of the posterior segment is also crucial. This can be done with a dilated fundus exam or by performing a B-Scan.
To aid in the detection of a foreign body, a computerized tomography (CT) scan is recommended. It can detect the number, size, shape, and location of the IOFB accurately.9 It has been shown that a CT with 1 mm sections without contrast, can detect up to 100% of IOFBs that are larger than 0.05 mm.5 In an image obtained from CT, a metallic foreign body has high attenuation with a shadow artifact; while non-metallic objects such as plastic, wood, or glass will not have an artifact.10 However, they may have varied levels of attenuation and there can be a scatter artifact around the object’s edge.10 In metallic foreign body cases, an MRI is contraindicated. If the foreign body is in the anterior segment, an anterior segment optical coherence tomography or an ultrasound biomicroscope can also be used to aid in diagnosis and detection of object location.5
It is imperative to be familiar with the treatment and management for cases of IOFBs . If there is no open globe injury, superficial foreign bodies should be removed. Knowing the composition of the foreign body is important. IOFBs that are iron and copper are highly reactive and should immediately be removed.1 Foreign bodies made of stone and other organic matter should also be removed as they come with a high risk of endophthalmitis.12 In certain cases, it is important to initiate broad-spectrum intravenous antibiotics and administer a tetanus injection.1
There are different management considerations dependent on the location of the foreign body. When it comes to initial management, the cornea and sclera should be repaired in cases of open globe injury, closing the perforation site.11 If the foreign body is present in the anterior chamber, it is generally not recommended to use the entrance wound for removal because additional manipulation of the corneal wound can cause increased scarring and further damage to the endothelial cells.12 An exception could be a gaping corneal wound and a very large foreign body.12 Foreign bodies can be removed with forceps, intraocular magnets and viscoexpression.1 If there is a hypopyon, the components from the anterior chamber can be sent for culture. The anterior chamber should also be washed thoroughly.
The lens is also an ocular structure where a IOFB may be found. In the cases where the posterior capsule has been impacted, the entire lens should be removed.13 It is important to assess for posterior capsular tears: surgery should be performed carefully in these cases to prevent the lens or the foreign body from dropping into the vitreous.13 If the foreign body is found in the anterior chamber angle, it may be removed using forceps or intraocular magnets.12 It is important to remember that gonioscopy must be done carefully. In the cases where gonioscopy may not be performed, a CT scan, ultrasound biomicroscopy, and anterior segment optical coherence tomography can be used to assist.1 Finally, if the IOFB is in the posterior segment, it is important to properly locate the foreign body prior to beginning surgical treatment. Once located, it can then be removed via a vitrectomy and using intravitreal forceps or an intraocular magnet.1 In cases of IOFBs in the posterior segment, it is crucial to recheck the peripheral retina for any additional retinal breaks.
CONCLUSION
Intraocular foreign bodies are commonly encountered by eye care professionals. It is imperative to properly identify and manage the IOFB appropriately to ensure the preservation of the ocular anatomy and best visual outcome for the patient. Prompt treatment and management provides a greater chance to help avoid threatening ocular conditions such as endophthalmitis.
REFERENCES
- Loporchio D, Mukkamala L, Gorukanti K, Zarbin M, Langer P, Bhagat N. Intraocular foreign bodies: A review. Surv Ophthalmol. 2016 Sep-Oct;61(5):582-96.
- Jung HC, Lee SY, Yoon CK, Park UC, Heo JW, Lee EK. Intraocular Foreign Body: Diagnostic Protocols and Treatment Strategies in Ocular Trauma Patients. J Clin Med. 2021 Apr 25;10(9):1861.
- Liu Y, Wang S, Li Y, Gong Q, Su G, Zhao J. Intraocular Foreign Bodies: Clinical Characteristics and Prognostic Factors Influencing Visual Outcome and Globe Survival in 373 Eyes. J Ophthalmol. 2019;2019:5208092.
- Fujikawa A, Mohamed YH, Kinoshita H, Matsumoto M, Uematsu M, Tsuiki E, Suzuma K, Kitaoka T. Visual outcomes and prognostic factors in open-globe injuries. BMC Ophthalmol. 2018 Jun 08;18(1):138.
- Parke, D. Wilkin et al. Management of intraocular foreign bodies: a clinical flight plan
Canadian Journal of Ophthalmology, Volume 48, Issue 1, 8-12. - Greven CM, Engelbrecht NE, Slusher MM, Nagy SS. Intraocular foreign bodies: management, prognostic factors, and visual outcomes. Ophthalmology. 2000 Mar;107(3):608-12.
- Ohlhausen M, Menke BA, Begley J, Kim S, Debiec MR, Conrady CD, Yeh S, Justin GA. Advances in the management of intraocular foreign bodies. Front Ophthalmol (Lausanne). 2024 Sep 2;4:1422466.
- Kuhn F, Maisiak R, Mann L, Morris R, Witherspoon C (2002) The Ocular Trauma Score (OTS): Prognosticating the final vision of the seriously injured eye. In: Kuhn F, Pieramici D (eds) Ocular trauma: principles and practice. Thieme, New York, pp 14−12.
- Crowell EL, Koduri VA, Supsupin EP, Klinglesmith RE, Chuang AZ, Kim G, Baker LA, Feldman RM, Blieden LS. Accuracy of Computed Tomography Imaging Criteria in the Diagnosis of Adult Open Globe Injuries by Neuroradiology and Ophthalmology. Acad Emerg Med. 2017 Sep;24(9):1072-1079.
- Modjtahedi BS, Rong A, Bobinski M, McGahan J, Morse LS. Imaging characteristics of intraocular foreign bodies: a comparative study of plain film X-ray, computed tomography, ultrasound, and magnetic resonance imaging. Retina. 2015 Jan;35(1):95-104.
- Vlasov A, Ryan DS, Ludlow S, Coggin A, Weichel ED, Stutzman RD, Bower KS, Colyer MH. Corneal and Corneoscleral Injury in Combat Ocular Trauma from Operations Iraqi Freedom and Enduring Freedom. Mil Med. 2017 Mar;182(S1):114-119.
- Lit, Eugene S. M.D.; Young, Lucy H. Y. M.D., Ph.D.. Anterior and Posterior Segment Intraocular Foreign Bodies. International Ophthalmology Clinics 42(3):p 107-120, Summer 2002.
- Lin YC, Kuo CL, Chen YM. Intralenticular foreign body: A case report and literature review. Taiwan J Ophthalmol. 2019 Jan-Mar;9(1):53-59.
